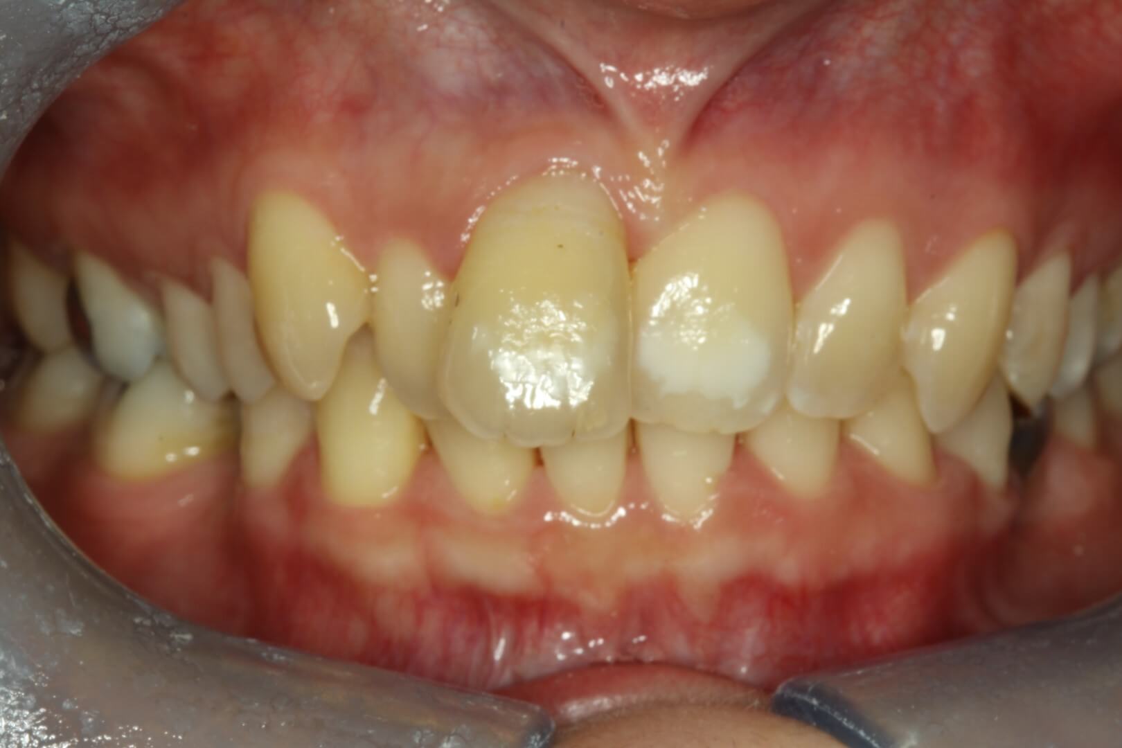
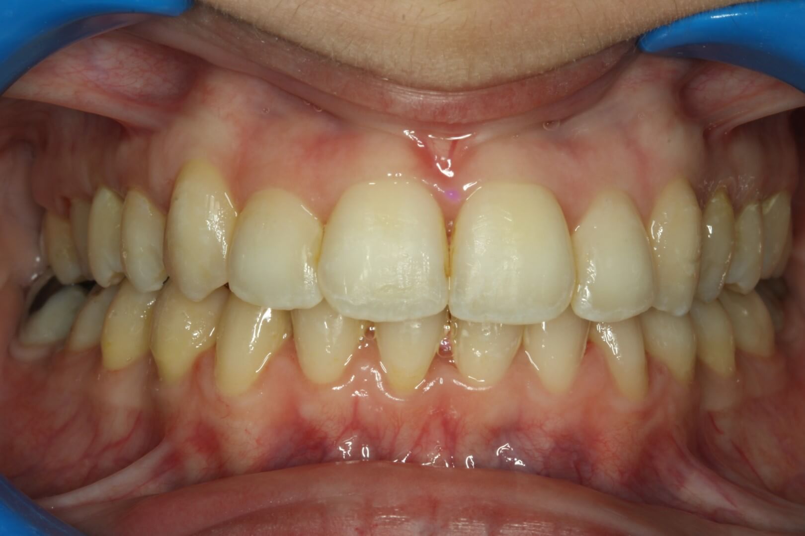
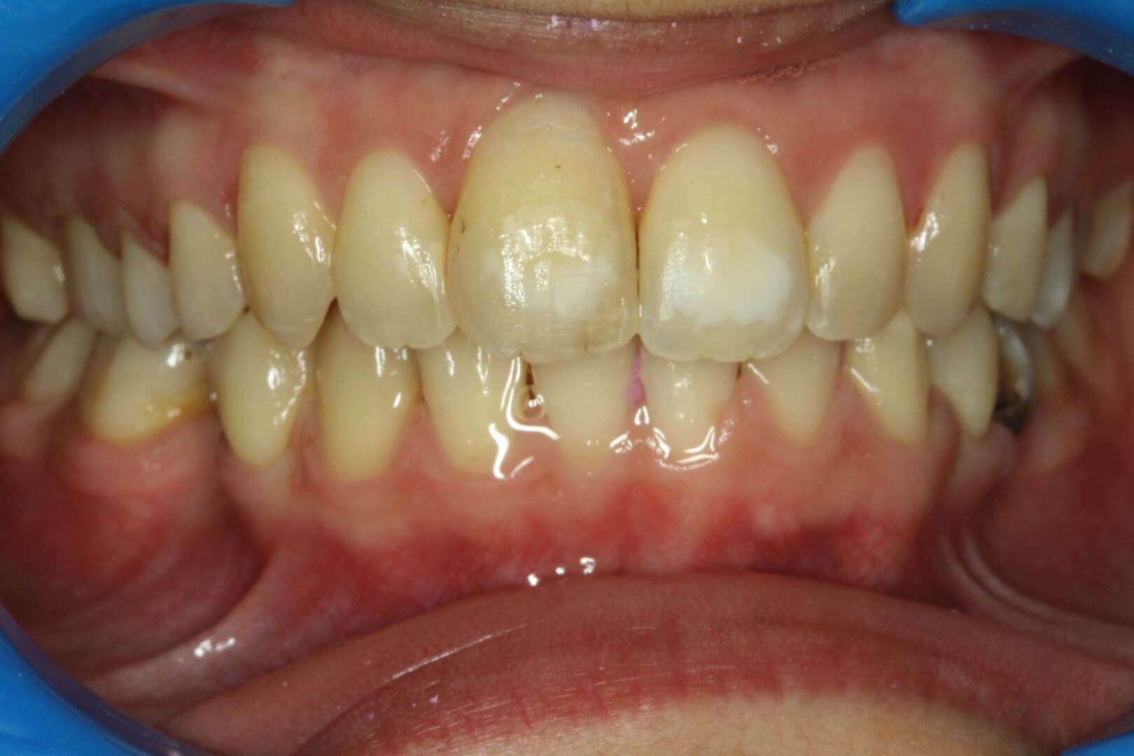
ΠΕΡΙΠΤΩΣΗ 1 (Τελικό αποτέλεσμα σε 10 μήνες)

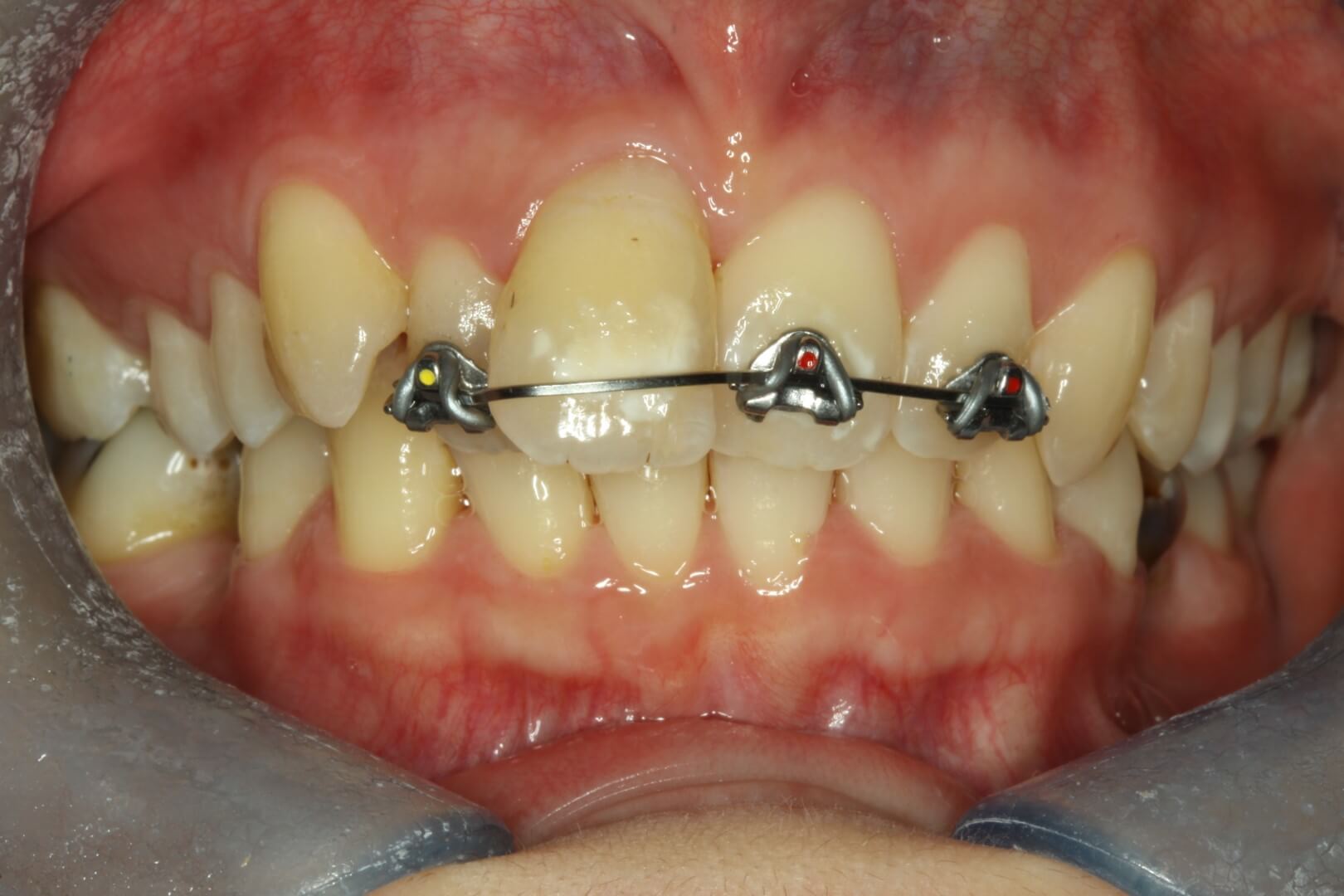
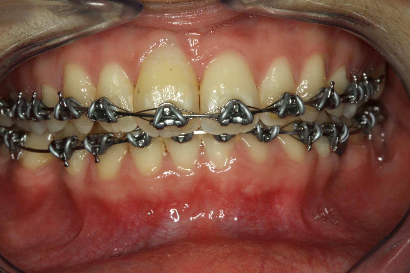
ΠΕΡΙΠΤΩΣΗ 2 (Τελικό αποτέλεσμα σε 150 ημέρες)